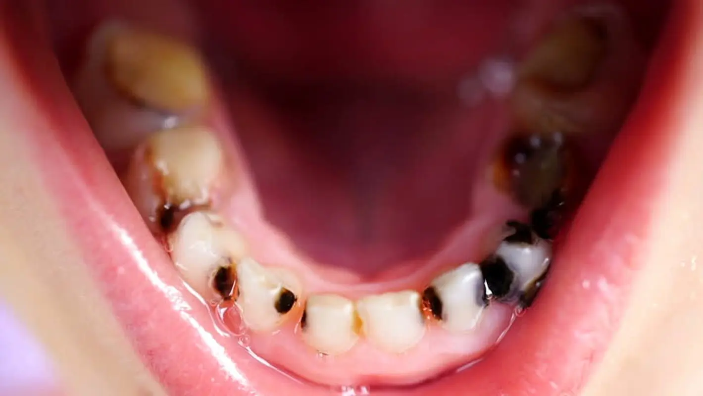
پوسیدگی دندان یکی از مشکلات شایع در جامعه است. طبق گزارشات جدید، بیش از ۹۰ درصد از جمعیت جهان در طول زندگی خود به آن مواجه میشوند. همچنین، بر اساس آمارها، از آنجایی که پوسیدگی دندان در افراد بالای ۶۵ سال بیشتر است، با افزایش سن جمعیت، این مشکل نیز به طور قابل توجهی افزایش خواهد یافت. لذا، شناخت علل و پیامدهای پوسیدگی و نحوه پیشگیری از آن بسیار اهمیت دارد.

تاثیر قند بر روی پوسیدگی دندان
باکتریهای موجود در دهان، قند را تجزیه میکنند که در نتیجه این تجزیه اسید آزاد میشود. هرچه غذاهای قندی بیشتری بخورید اسید بیشتری آزاد میشود و دندانها پوسیدگی بیشتری پیدا میکنند. برخی از خوراکیها و نوشیدنیها نیز اسیدی هستند و میتوانند به خراب شدن دندان ها کمک میکنند.
برای جلوگیری از پوسیدگی دندان از خورد چه خوراکیهایی بپرهیزیم؟
- پاپکورن
- تخمه
- نوشیدنیهای قهوه
- آب گرم و لیموترش
- یخ
- شیرینیهای گرانولا
- نوشیدنیهای ورزشی
درمان پوسیدگی دندان چیست؟
حتی افرادی هم که به طور مرتب موارد بهداشتی دهان و دندان را رعایت میکنند ممکن است دارای 1 الی 2 دندان پوسیده باشند. با شناسایی به موقع دندان پوسیده نسبت به درمان آن اقدام کرده تا باعث جدیتر شدن مشکل و نهایتا از بین رفتن دندان خود نشوید.

بهترین و اساسیترین شکل درمان برای پوسیدگی دندان پر کردن آن است. بدین صورت که قسمت پوسیده دندان را برداشته و با استفاده از یک ماده پر کننده (آمالگام، چینی، طلا، کامپوزیت) جایگزین میشود. حفرهها و پوسیدگیهای دندان اگر به موقع درمان نشوند بزرگتر و عمیقتر شده در حالی که درمان حفره از گسترش آن جلوگیری کرده و مانع پیشرفت آن میشود. بنابراین با دیدن علائم پوسیدگی در دندان خود هر چه سریعتر به دندانپزشک مراجعه کنید.
برای ارسال نظر کلیک کنید
▼