مایع آزاد در کلدوساک چیست؟
اگر سونوگرافی انجام دادهاید، ممکن است متوجه شده باشید که مایع آزاد در کلدوساک شما وجود دارد. کلدوساک درست پشت واژن قرار گرفته است.

اگر سونوگرافی انجام دادهاید، ممکن است متوجه شده باشید که مایع آزاد در کلدوساک شما وجود دارد. کلدوساک درست پشت واژن قرار گرفته است.
در این مقاله میخوانید:
- آناتومی کلدوساک
- دلایل وجود مایع آزاد در کلدوساک چیست؟
- تشخیص مایع موجود در کلدوساک چگونه است؟
- سونوگرافی ترانس واژینال
- کولدوسنتز
- چه زمانی کولدوسنتز انجام می شود؟
- هدف از کولدوسنتز چیست؟
- چگونه برای کولدوسنتز آماده شوید؟
- کولدوسنتز چگونه انجام می شود؟
- آیا کولدوسنتز دردناک است؟
- خطرات کولدوسنتز چیست؟
- تشخیص بارداری خارج از رحم با استفاده از کولدوسنتز چگونه است؟
- نتایج کودوسنتز به چه معناست؟
- چه زمانی باید به پزشک مراجعه کنید؟
- تفاوت بین کولدوسنتز و آمنیوسنتز چیست؟
- خلاصه

آناتومی کلدوساک
در دو طرف رحم دو کیسه کوچک قرار دارد که به آنها کولد میگویند. کلدوساک قدامی فضای بین مثانه و رحم است و کلدوساک خلفی بین رحم و رکتوم قرار دارد که به آن کیسه داگلاس نیز میگویند و به نام پزشک اسکاتلندی جیمز داگلاس نامگذاری شده است. کولدوسنتز، یک روش تشخیصی برای برداشتن مایع آزاد غیر طبیعی از پشت واژن در کلدوساک یا کیسه داگلاس است. این روش مانند گذشته استفاده نمیشود، اما میتواند به تشخیص عفونت یا شرایط پزشکی کمک کند.

دلایل وجود مایع آزاد در کلدوساک چیست؟
مایعات به دلایل زیادی میتوانند کلدوساک را پر کنند. گاهی اوقات کیست تخمدان یا فولیکول پاره شده، مایع نشت میکند. گاهی اوقات مشکل شدیدتری وجود دارد که برخی از دلایل احتمالی آن عبارتند از:
- حاملگی خارج از رحم، که در آن محصول حاملگی به جای رحم در لوله فالوپ رشد میکند
- آندومتریوز که نوعی بافت است که به طور معمول رحم را می پوشاند اما در جای دیگری رشد میکند
- پس از کولدوسنتز
- «آسیت» یا تجمع مایع در شکم
- حاملگی مولار که در آن کیست از یک تخمک بارور شده تشکیل میشود
- دوزهای بالای استروژن
- پیچخوردگی تخمدان
- آبسه لگن یا هماتوم
- بیماری التهابی لگن
- قاعدگی رتروگراد، که شرایطی است که در آن خون قاعدگی به لگن بازمیگردد
- آبسه لوله تخمدان که شامل چرک در تخمدان و لوله فالوپ است
- فیبرومهای رحمی
- پارگی یا شکستگی در دیواره رحم
پیشنهاد ویژه نی نی بان: آشنایی با مراکز سونوگرافی

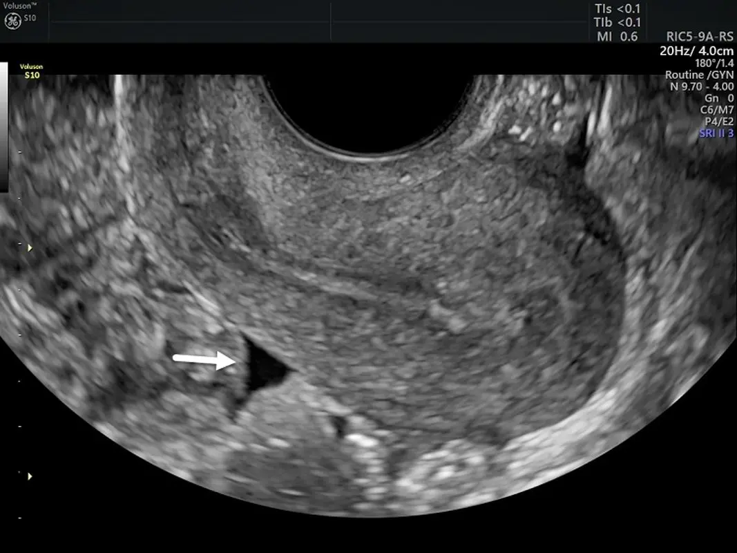
تشخیص مایع موجود در کلدوساک چگونه است؟
وجود مایع در کلدوساک با انجام سونوگرافی ترانس واژینال، یا کولدوسنتز تشخیص داده میشود.
سونوگرافی ترانس واژینال
سونوگرافی ترانس واژینال نشان میدهد که آیا مایع پشت رحم وجود دارد یا نه. یک پروب در واژن قرار داده میشود تا تصاویر سونوگرافی با جزئیات بیشتری را بگیرد. اگر مایع پیدا شد، ممکن است به آزمایشهای بیشتری نیاز داشته باشید.
کولدوسنتز یک روش پزشکی است که مایعات غیرطبیعی پشت واژن و زیر رحم را در ناحیهای به نام کلدوساک خلفی بررسی میکند.
کولدوسنتز
کولدوسنتز یک روش پزشکی است که مایعات غیرطبیعی پشت واژن و زیر رحم را در ناحیهای به نام کلدوساک خلفی بررسی میکند. پزشک، یک سوزن نازک را از طریق دیواره واژن وارد میکند تا نمونهای از مایع را برای آزمایش از این ناحیه بردارد.
امروزه، سونوگرافی ترانس واژینال تا حد زیادی جایگزین کولدوسنتز شده است چون میتواند مایع شکم و لگن را تشخیص دهد. جراحان ممکن است به جای کولدوسنتز از تکنیکهای جراحی کمتهاجمی یا با هدایت تصویر استفاده کنند.
بیشتر بخوانید: پروتز سینه در مقابل لیفت سینه: تفاوتها و مزایا

چه زمانی کولدوسنتز انجام می شود؟
برخی از بیماریها و عفونتها باعث میشوند که مایع آزاد در کلدوساک پر شود. اکثر پزشکان از سونوگرافی برای تشخیص مایع پشت رحم استفاده میکنند و اگر مشکوک باشند که مایع غیرطبیعی است، ممکن است کولدوسنتز را برای نمونهبرداری مایع انجام دهند.
برخی از دلایل کولدوسنتز عبارتند از:
- پارگی حاملگی خارج از رحم
- بیماری التهابی لگن
- کیستهای پاره شده تخمدان
- اندومتریوز
- فیبروم رحم
- ضربه به لگن
- درد در لگن یا پایین شکم
هدف از کولدوسنتز چیست؟
پزشک ممکن است زمانی که نیاز به برداشتن مایع از پشت واژن و آزمایش عفونت دارد، کولدوسنتز را انجام دهد.
پیشنهاد ویژه نی نی بان: آشنایی با پزشکان متخصص زنان و زایمان

چگونه برای کولدوسنتز آماده شوید؟
برای آماده شدن برای کولدوسنتز نیازی به انجام کارهای زیادی ندارید. فقط قبل از آزمایش چند دقیقه بیحرکت بمانید. به این دلیل که احتمالا داروهایی برای بیحس کردن واژن دریافت خواهید کرد، ممکن است نیاز باشد یک نفر از اقوام یا دوستانتان شما را به خانه برساند.
کولدوسنتز چگونه انجام می شود؟
کولدوسنتز روش معمولا شامل مراحل زیر است:
- پزشک، یک معاینه لگنی انجام میدهد و از یک ابزار جراحی برای بلند کردن دهانه رحم استفاده میکند. این کار دردناک نیست، اما ممکن است کمی ناراحت شوید.
- پزشک، ناحیهای از دهانه رحم را با بیحسی موضعی، بیحس میکند.
- پزشک یک سوزن نازک را از طریق دیواره واژن در زیر جایی که دهانه رحم شما به پایان میرسد وارد می کند. سوزن به سرنگی متصل است که مایع آزاد را جمع میکند.
- در نهایت، پزشک نمونهای از مایع آزاد را از طریق سوزن از کلدوساک خلفی خارج میکند.
- نمونه مایع برای آزمایش به آزمایشگاه فرستاده میشود. ممکن است پس از کولدوسنتز احساس ناراحتی یا گرفتگی داشته باشید، اما این حالت باید در عرض ۲۴ تا ۴۸ ساعت فروکش کند.
بیشتر بخوانید: چگونه بعد از یائسگی تناسب اندام خود را حفظ کنیم؟ از ورزش تا رژیم غذایی

آیا کولدوسنتز دردناک است؟
خیر، کولدوسنتز نباید دردناک باشد. شما دارویی دریافت خواهید کرد که ناحیهای را که سوزن به آن وارد میشود، بیحس میکند با این حال. ممکن است گرفتگی و ناراحتی خفیف داشته باشید.
خطرات کولدوسنتز چیست؟
خطرات کولدوسنتز عبارتند از:
- سوراخ شدن رحم یا راستروده
- عفونت
- سوراخ شدن عروق خونی، کیست یا تومور
تشخیص بارداری خارج از رحم با استفاده از کولدوسنتز چگونه است؟
زمانی که سونوگرافی هنوز به طور گسترده در دسترس نبود، از این روش برای تشخیص حاملگیهای خارج رحمی مورد استفاده قرار میگرفت. سونوگرافی میتواند حاملگی خارج از رحم را قبل از پارگی تشخیص دهد که نیاز به کولدوسنتز را کاهش میدهد.

نتایج کودوسنتز به چه معناست؟
نتیجه طبیعی به این معنی است که مایع شما شفاف است. نتیجه خونی، پر از چرک یا مقادیر زیاد مایع شفاف ممکن است نشاندهنده وجود مشکل باشد. مثلا مایع زرد رنگ پر از چرک، نشاندهنده عفونت است. خونی که لخته نمیشود به این معنی است که حاملگی خارج از رحم پاره شده است.
بسته به نتایج آزمایش، ممکن است نیاز به تخلیه مایع یا درمان با آنتیبیوتیک داشته باشید.
چه زمانی باید به پزشک مراجعه کنید؟
اگر در شکم یا لگن خود درد شدید دارید به پزشک مراجعه کنید چون میتواند نشاندهنده یک مشکل باشد. اگر کولدوسنتز داشتهاید و خونریزی شدید، درد یا علائمی شبیه آنفولانزا را تجربه میکنید، به پزشک مراجعه کنید.
بیشتر بخوانید: روشهای تشخیص فیبروم: سونوگرافی، MRI، هیستروسکوپی

تفاوت بین کولدوسنتز و آمنیوسنتز چیست؟
آمنیوسنتز روشی است که در آن پزشک مایع آمنیوتیک را در دوران بارداری از رحم خانم باردار خارج میکند تا عفونت یا ناهنجاریهای کروموزومی جنین را آزمایش کند.
خلاصه
دو کیسه کوچک به نام کلدوساک در دو طرف رحم قرار دارند که گاهی اوقات مایع آزاد در کلدوساک جمع میشود. مقدار کمی مایع طبیعی است، اما اگر حاوی چرک یا خون باشد، یا اگر باعث درد شود، ممکن است مشکل سلامتی جدیتری وجود داشته باشد. عفونت، عوارض بارداری، یا شرایط سلامتی مانند اندومتریوز یا فیبروم میتواند علت مایع آزاد در کلدوساک باشد. سونوگرافی یک روش تشخیصی برای مایع آزاد است، اما ممکن است به کولدوسنتز نیاز داشته باشید که در آن نمونهای از مایع با سوزن بیرون کشیده میشود تا بتوان آن را آزمایش کرد. بسته به علت، ممکن است نیاز به تخلیه مایع یا درمان با آنتیبیوتیک باشد.
برای یافتن متخصصان مورد نظر خود به کلینیک نی نی بان سر بزنید.
نظر کاربران
آیا درمان خاصی نیاز هست اگر مایع جزئی در کلدوساک دیده شود؟
پاسخ ها
همراه عزیز نی نی بان، اگر سئوالی دارید با متخصصان کلینیک نی نی بان مطرح کنید
https://clinic.niniban.com