طراحی لبخند با کامپوزیت، برای افزایش اعتماد به نفس
یکی از جذابترین ویژگیهای صورت، داشتن یک لبخند زیبا است که به شما کمک میکند در طول بازدیدهای اجتماعی، شخصی و حرفهای از خود بهترین تاثیر را به جای بگذارید. با این حال، همهی ما به یک اندازه خوش شانس نیستیم که لبخندی بی نقص داشته باشیم و اتفاقاً درست همین جا است که طراحی لبخند با کامپوزیت میتواند کمک کننده باشد.

چرا باید سراغ طراحی لبخند با کامپوزیت برویم؟ یکی از مطالعات اخیر نشان داده است که:
- بیش از ۷۵درصد از مردم اعتماد به نفس لبخند زدن موقع عکس گرفتن را ندارند.
- بیش از ۴۵درصد از مردم، افراد را از روی لبخندشان ارزیابی میکنند.
- بیش از ۷۵درصد از مردم فکر میکنند که لبخند زیبا به رشد روانی آنها کمک میکند.
- بیش از ۶۵درصد از مردم فکر میکنند که یک لبخند جذاب در افزایش سلامتی آنها موثر است.
در نتیجه، اگر از لبخند زدن خجالت میکشید و اعتماد به نفس ندارید، یا اگر میخواهید ظاهر لب یا فکهایتان را تغییر دهید تا لبخندتان بهتر شود، وقت آن است که دربارهی طراحی لبخند با کامپوزیت فکر کنید.
در این مقاله میخوانید:
- طراحی لبخند چیست؟
- طراحی لبخند چه چیزی را اصلاح میکند؟
- طراحی لبخند با کامپوزیت چگونه است؟
- مزایا و معایب طراحی لبخند با کامپوزیت
- ماندگاری طراحی لبخند با کامپوزیت
- هزینه کامپوزیت دندان
طراحی لبخند چیست؟
اصلاح لبخند، فرآیند تغییر ظاهر لبخند شما در یک مدت زمان بسیار کوتاه است.
اصلاح لبخند که به عنوان طراحی لبخند نیز شناخته میشود، فرآیند تغییر ظاهر لبخند شما در یک مدت زمان بسیار کوتاه است. این فرآیند با مشاوره با دندانپزشک آغاز میشود تا شما نگرانیها و خواستههای خود را عنوان کنید. سپس با مشورت با پزشک خود تصمیم میگیرید که چه گزینههایی پیش رو دارید و چگونه میتوانید نتایج مدنظر خود را به دست بیاورید.
طراحی لبخند، یک روش دندانپزشکی است که به صورت هنرمندانه لبخندهایی اصلاح شده با ظاهر طبیعی ایجاد میکند. در واقع، صرف نظر از وضعیت دندانهای موجود شما، طراحی لبخند میتواند برای تغییر ظاهری که از آن ناراضی هستید یا به دلیل سن یا تصادف آسیب دیده است، معجزه کند.

طراحی لبخند چه چیزی را اصلاح میکند؟
دندانپزشک شما میتواند با طراحی لبخند، موارد و مشکلات دندانی زیر را اصلاح کند:
- دندانهای کج: اکثر افراد دارای دندانهای غیرهمتراز هستند که باعث میشود موقع لبخند زدن خجالت بکشند. دندانهایی که پیچ خورده، روی هم افتاده و شلوغ هستند، معمولاً به عنوان دندانهای کج شناخته میشوند. اصلاح این دندانها با استفاده از بریسهای کامپوزیتی ممکن است کمک کننده باشد.
- دندانهای شکسته یا ترک خورده: بسته به میزان آسیب، این دندانها را نیز میتوان با گزینههای مختلف درمانی مانند تاج، باندینگ و روکشهای کامپوزیتی ترمیم کرد.
- دندانهای افتاده یا از دست رفته: دندانها میتوانند به دلایل مختلفی از جمله سهل انگاری در بهداشت دهان و دندان یا حوادث طبیعی بیفتند و لبخند شما را ناقص کنند. طراحی لبخند با کامپوزیت میتواند به این مورد هم کمک کند.
- دندانهای فاصله دار: برخی افراد فضای بیشتری بین دندانهای خود دارند که ممکن است علاوه بر ناقص کردن لبخند، مشکلات عملکردی را نیز باعث شود. این شکافها و فاصلهها را میتوان با استفاده از روکشها، باندینگ رزین کامپوزیت و بریسهای نامرئی برطرف کرد.
- دندانهای لکه دار: گاهی اوقات دندانهای پوسیده یا لکه دار نیز میتوانند از زیبایی لبخند شما بکاهند. در این صورت، روکشها یا سایر روشهای سفید کردن دندان میتوانند زیبایی لبخند شما را برگردانند.

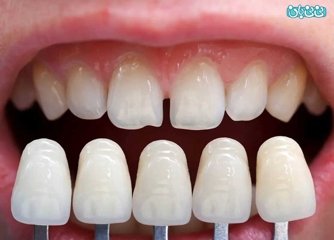
طراحی لبخند با کامپوزیت چگونه است؟
کامپوزیتها مواد پرکنندهی دندان هستند که برای مطابقت با رنگ دندانهای طبیعی شما استفاده میشوند. طراحی لبخند با کامپوزیت یک تکنیک غیرتهاجمی است که میتواند:
- دندانهای شکسته یا ترک خوردهی شما را ترمیم کند.
- فضای اضافهی بین دندانها را ببندد.
- کار تغییر رنگ و اندازه و شکل دندانها را انجام دهد.
- حفره یا سوراخهای موجود در دندانها را پر کند.
- جایگزین ترمیمهای آمالگام نقره قدیمی شود.

مزایا و معایب طراحی لبخند با کامپوزیت
مزایای طراحی لبخند با کامپوزیت عبارتند از:
- حفظ ساختار دندان (تاجها و بریجها نیاز به آماده سازی دندان دارند.)
- افزایش اعتماد به نفس
- رهایی از مشکلات و بیماریهای دندانی
- سلامت بهتر دهان و دندان
- بهتر جویدن
- گفتار بهتر
معایب طراحی لبخند با کامپوزیت عبارتند از:
- استحکام کامپوزیت به اندازهی سایر مواد پرکننده نیست.
- در صورت گاز گرفتن غذاهای سفت ممکن است خرد شود.
- در اثر مصرف زیاد قهوه، چای یا تنباکو لکه دار میشود.






آدرس: فرشته، مریم شرقی، کوچه امین، ساختمان اس ام پی، طبقه ۳، واحد B.
ماندگاری طراحی لبخند با کامپوزیت
حداقل عمر مواد کامپوزیتی ۳ تا ۵ سال است. با این حال، طول عمر کامپوزیت به نگهداری و مراقبت مناسب از بهداشت دهان و دندان بستگی دارد. بعضی از کارهایی که میتوانید برای طولانی کردن عمر مواد کامپوزیتی انجام دهید، عبارتند از:
- دندانهای خود را به طور مرتب مسواک بزنید.
- از نخ دندان استفاده کنید.
- مصرف چای و قهوهی خود را کاهش دهید.
- از گاز زدن میوه یا غذاها و اشیای سخت خودداری کنید.

هزینه کامپوزیت دندان
فاکتورهای بسیاری در قیمت کامپوزیت دندان دخیل هستند که بعضی از آنها عبارتند از:
- جنس کامپوزیت و میزان ماندگاری آن
- برند یا شرکت سازندهی کامپوزیت
- میزان تخصص و تجربهی دندانپزشک
- شهر یا محل سکونت
- میزان مشکلات یا بی نظمی دندانها
با این حال، به طور کلی میتوان گفت که هزینه کامپوزیت دندان برای هر واحد از یک تا بالای دو میلیون تومان متغیر است.

جمعبندی
طراحی لبخند با کامپوزیت ، یک درمان زیبایی است که بر روی زیبا کردن ظاهر لبخند شما تمرکز دارد. افرادی که از مشکلات دندانی مانند پوسیدگی دندان، شل شدن دندان، لکهها و پلاک باکتریایی رنج میبرند، معمولاً این درمان اصلاحی را انتخاب میکنند و به کمک آن میتوانند اعتماد به نفس از دست رفتهی خود برای لبخند زدن را از نو به دست بیاورند.
برای اطلاعات بیشتر و آشنایی با متخصصین دندانپزشکی، به کلینیک نی نی بان سر بزنید.
برای ارسال نظر کلیک کنید
▼