علت سونوگرافی کالر داپلر
در این ویدئو به این سوال پاسخ داده میشود که سونوگرافی کالر داپلر چیست و به چه علت انجام میشود؟
سوال : سونوگرافی کالر داپلر چیست و به چه علت انجام میشود؟
پاسخ : سونوگرافی، تصویرسازی از امعاء و احشاء شکم و بدن از طریق امواج ماوراء صوت است. از این تکنولوژی برای تشخیص علت بسیاری از دردها، تورم و عفونت در اندامهای داخلی بدن و ... استفاده می شود. از سونوگرافی برای تشخیص و بررسی سلامت جنین در زنان باردار و تشخیص اختلالات قلبی و عروقی و ارزیابی آسیب بعد از حمله قلبی نیز استفاده می کنند.
برای آگاهی بیشتر از علت سونوگرافی کالرداپلر به سراغ دکتر غلامرضا سیف رفتیم. از شما دعوت میکنیم ویدئو زیر را تماشا کنید. برای مراجعه به دکتر غلامرضا سیف یا دریافت نوبت از سونوگرافی شقایق، دکتر غلامرضا سیف کلیک کنید.
سونوگرافی شقایق، دکتر غلامرضا سیف

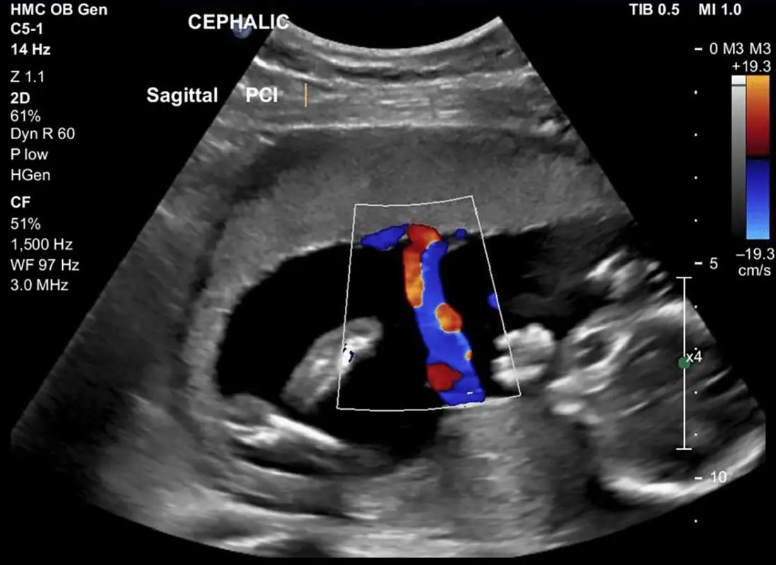
سونوگرافی کالرداپلر چیست؟
سونوگرافی کالر داپلر به منزله انقلابی در تکنولوژی سونوگرافی مطرح است. سونوگرافی کالر داپلر این امکان را فراهم میسازد که سرعت و جهت جریان خون در عروق بررسی شود.
یکی از مهمترین کاربردهای سونوگرافی بررسی حرکت خون در شریان ها و رگ ها ست. سونوگرافی دو بعدی و سه بعدی، ساختار داخلی اندام ها و بافت ها را نشان می دهند و سونوگرافی کالر داپلر جریان و فشار خون در رگ ها را بررسی می کند.
در این نوع از سونوگرافی امواج فراصوت به بدن ارسال می شوند و با سلول ها و گلبول های خون برخورد کرده، طول موج آنها تغییر می کند. بعد از برگشتن به دستگاه تغییرات به وجود آمده در طول موج ها تصاویر سونوگرافی کالر داپلر را می سازند. اطلاعات به دست آمده از این ارسال و برگشت امواج نشان می دهد که جریان خون در رگ ها و شریان های سونوگرافی شده با چه سرعت و در چه جهت حرکت می کند، آیا انسداد یا افت سرعت حرکت در شریان ها وجود دارد یا خیر.
تکنولوژی کالرداپلر در اغلب مواقع به آنژیوگرافی با اشعه ایکس ترجیح داده می شود. سونوگرافی کالر داپلر یک روش دقیق، امن، غیرتهاجمی، بدون درد و تزریق است.
انواع سونوگرافی کالر داپلر
در حال حاضر سونوگرافی کالر داپلر سه نوع قابل دسترس دارد که عبارتند از:
۱. سونوگرافی کالر داپلر
که از طیف رنگ های مختلف برای نمایش جریان خون و ساختار بافت ها و اندام ها استفاده می کند. این نوع از سونوگرافی سرعت جریان خون در رگ ها و جهت حرکت آن را با کیفیت بیشتری نشان می دهد.
۲. سونوگرافی کالر پاور داپلر
این مدل از سونوگرافی تصاویری با جزئیات و رنگی از جریان خون ارائه می دهد که با سونوگرافیکالر داپلر دست یافتن به آن به سختی و حتی گاهی غیر ممکن است. اما سونوگرافی کالر پاور داپلر نیز محدودیت هایی دارد به عنوان مثال نمی تواند جهت جریان خون درشریان ها را به دقت و درستی نشان دهد.
۳. سونوگرافی کالر داپلر اسپکترال
در این نوع از سونوگرافی با کمک اسکن داپلکس به بررسی جریان عروقی می پردازند. ( ترکیب تصاویر دوبعدی حاصل از سونوگرافی و نتایج ارائه شده از داپلر را داپلکس می گویند ). هر سرعت از جریان خون، مد و دامنه خاص خود را دارد. نتیجه نهایی که ارائه می شود ترکیبی از تمام این سرعت های گوناگون است.

مقایسه سه نوع سونوگرافی کالر داپلر
سونوگرافی کالر داپلر و سونوگرافی کالر داپلر اسپکترال می توانند هم جریان خون را بررسی کنند و هم جهت آن را شناسایی کنند اما سونوگرافی کالر داپلر اسپکترال به جای تصاویر رنگی، اطلاعات دریافتی را به صورت مقیاس و نمودار نشان می دهد. سونوگرافی کالر داپلر شتاب، سرعت و جهت جریان خون را نشان می دهد اما سونوگرافی پاور داپلر تنها دامنه و شدت سیگنال های داپلر را نمایش داده و سرعت و شتاب را بررسی نمی کند.
دلایل انجام سونوگرافی کالر داپلر عروق
- وجود لخته های خونی در اندام های بدن و ساق پا
- وجود واریس و سایر مشکلات وریدی
- ارزیابی میزان و سرعت جریان خون در کلیه ها
- ارزیابی و بررسی جریان خون پس از سکته مغزی و بیماری های دیگر
- یافتن و وجود انسداد عروق در تمام اندام های بدن مانند گردن، بازو ها و ساق پاها
سونوگرافی کالر داپلر چه مزایایی دارد؟
- شناسایی سریع رگ ها و دریچه ها و جریان های متلاطم خون
- ارائه تصویر واضح از جریان خون در قلب و رگ ها
- ارزیابی و بررسی شتاب و جهت جریان خون درشریان ها
- در ترکیب با حالت سه بعدی، حجم و درصد خون در رگ ها را بررسی می کند

برای ارسال نظر کلیک کنید
▼