
در این مقاله با اصطلاحاتی مرتبط با دندانها و شرایطی مثل علتهای عقب بودن فک پایین و روشهای درمان و همچنین مشکلاتی که ممکن است به وجود بیاورد، آشنا میشوید.
در این مقاله میخوانید:
- عقب بودن فک پایین چه شرایطی است؟
- علل عقب بودن فک پایین چیست؟
- تشخیص عقب بودن فک پایین
- درمان عقب بودن فک پایین چگونه است؟
- درمان عقب بودن فک پایین در کودکان
- درمان عقب بودن فک پایین در بزرگسالان
- پیشگیری از عقب بودن فک پایین امکان پذیر است؟
- اگر به عقب بودن فک پایین دچارید
- خلاصه

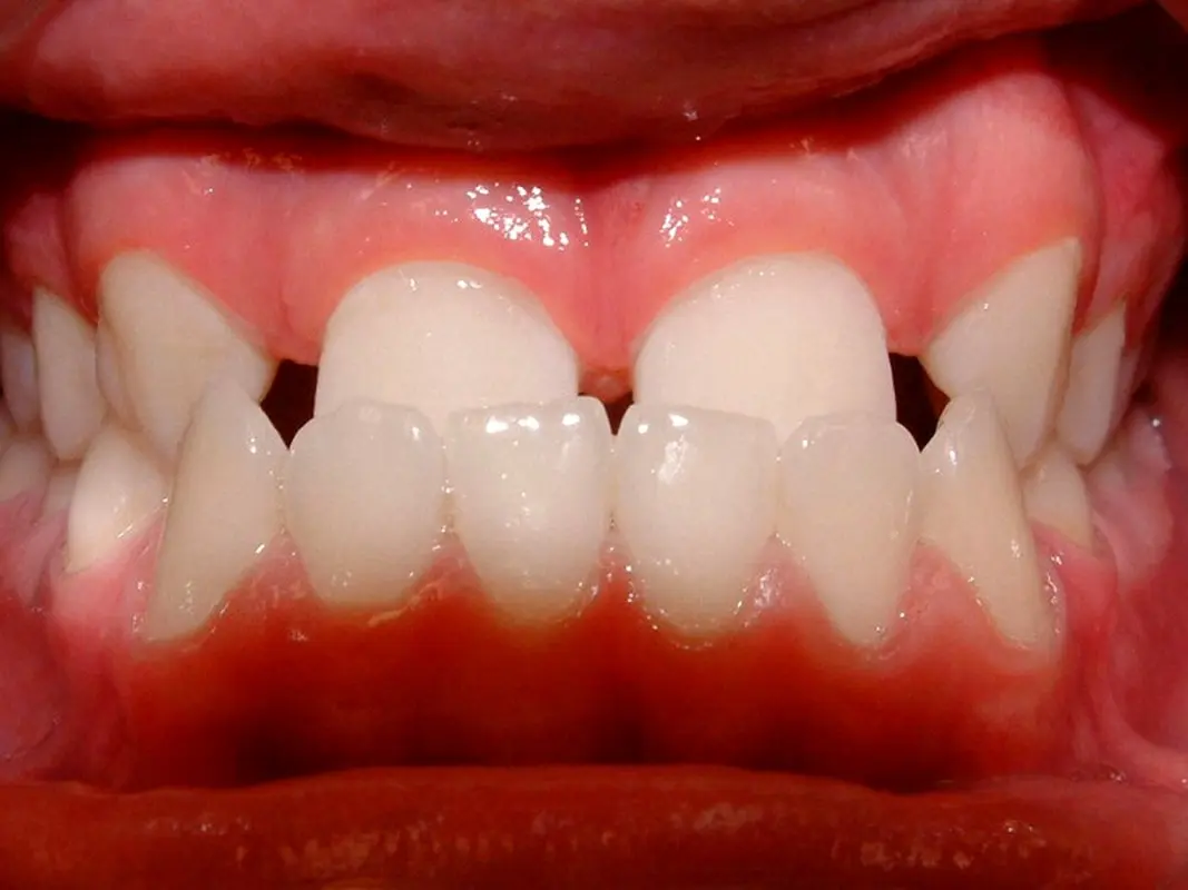
عقب بودن فک پایین چه شرایطی است؟
عقب بودن فک پایین یا «اُوِربایت» اصطلاحی است که زمانی استفاده میشود که دندانهای جلویی بالایی به صورت عمودی با دندانهای جلویی پایینی همپوشانی دارند. کمی جلو بودن فک پایین، کاملا طبیعی است. اگر دندانهای جلویی بالایی با دندانهای پایینی همپوشانی نداشته باشند، هر زمان که غذا را گاز میزنید، دندانها به یکدیگر برخورد میکنند که منجر به سایش زودرس مینای دندان میشود. فقدان کامل «اوربایت» یک نوع مشکل است که به آن «اپن بایت» میگویند.
با این حال، هنگامی که درجه همپوشانی، بیش از حد زیاد باشد (بیش از ۲ تا ۴ میلیمتر)، ظاهر فک بیش از اندازه به سمت عقب دیده میشود. این شرایط میتواند «دندانی» (ناشی از موقعیت دندانها) یا «اسکلتی» (به دلیل شکل یا اندازه فک) باشد. در موارد شدید، حتی ممکن است دندانهای پایین به کام دهان برخورد کنند. اوربایت میتواند باعث درد فک، فرسایش دندان و سایر بیماریهای سلامت دهان شود.
بیشتر بخوانید: ارتودنسی فانکشنال یا کاربردی؛ مزایا و انواع دستگاه ها

علل عقب بودن فک پایین چیست؟
بیش از حد عقب بودن فک پایین معمولا به دلیل کوچک بودن بیش از حد فک پایین ایجاد میشود که یک مشکل ژنتیکی است، به این معنی که در بیشتر مواقع نمیتوان از آن پیشگیری کرد. به این دلیل که فک پایین کوچکتر از فک بالا است، دندانهای بالایی جلوتر قرار میگیرند و بیش از حد دندانهای پایین را میپوشانند. سایر علل عبارتند از:
- ناخن جویدن بیش از حد
- دندان قروچه (براکسیسم)
- فشار دادن زبان به سمت جلو
- مکیدن شست یا استفاده از پستانک در سنین بالای ۳ سالگی
- از دست دادن دندانهای پایین
اوربایت میتواند به موارد زیر منجر شود:
- فرسایش دندان
- مشکلات تنفسی
- درد هنگام جویدن
- بیماری لثه
- درد فک
- اختلالات گیجگاهی فکی
- حفرهها
- عوارض اوربایت
در صورت عدم درمان، اوربایت میتواند منجر به عوارض سلامتی شود که عبارتند از:
- درد و سفتی فک
- سردرد
- گوشدرد
- پوسیدگی دندان
- بیماری لثه
- گردندرد
پیشنهاد ویژه نی نی بان: آشنایی با پزشکان متخصص دندانپزشکی

تشخیص عقب بودن فک پایین
به طور معمول، دندانپزشک اولین بار در طول معاینه فیزیکی متوجه این مشکل میشود. دندانپزشک از اشعه ایکس دندان برای بررسی بیشتر نحوه تراز دندانها استفاده میکند.
دندانپزشک ممکن است شما را به یک متخصص ارتودنسی ارجاع دهد. ارتودنتیستها در تراز کردن دندان و فک تخصص دارند.
درمان عقب بودن فک پایین چگونه است؟
نوع درمان به عوامل متعددی از جمله شدت عقب بودن فک پایین و سن بستگی دارد. درمان این مشکل در کودکان و بزرگسالان متفاوت است.

درمان عقب بودن فک پایین در کودکان
به این دلیل که کودکان هنوز در حال رشد هستند، استخوانهایشان نرمتر است و دندانهایشان راحتتر حرکت میکنند. در نتیجه، دندانپزشکان اغلب این مشکل را در کودکان تنها با ارتودنسی رفع میکنند. درمان عقب بودن فک پایین برای کودکان شامل موارد زیر است:
- گشادکنندههای کام
- هدگیر برای اصلاح موقعیت فک
- بریسهایی برای حرکت دادن تمام دندانها در تراز مناسب
- کشیدن دندانهای شیری برای ایجاد فضا برای دندانهای دائمی
- نگهدارندههایی که دندانها را بعد از ارتودنسی در یک راستا نگه میدارند
بیشتر بخوانید: بردن کودکان به دندانپزشکی، نکات مهم

درمان عقب بودن فک پایین در بزرگسالان
بزرگسالان نیز میتوانند تحت درمان ارتودنسی قرار بگیرند. در برخی موارد، درمان ارتودنسی ممکن است تنها درمان باشد، اما در برخی موارد شدید علاوه بر ارتودنسی، جراحی اصلاحی فک نیز لازم است. درمان برای بزرگسالان شامل موارد زیر است:
- ارتودنسیهای شفاف برای حرکت دادن دندانها به موقعیتهای صحیح
- کشیدن دندان برای ایجاد فضای بیشتر برای دندانهای باقیمانده
- جراحی اصلاحی فک (جراحی ارتوگناتیک) برای بهبود همترازی دندانها
- نگهدارنده برای جلوگیری از حرکت دندان بعد از درمان
بیشتر بخوانید: هوم بلیچینگ چیست؛ آیا واقعا هوم بلیچینگ در سفیدی دندان ها تاثیرگذار است؟

پیشگیری از عقب بودن فک پایین امکان پذیر است؟
این مشکل در برخی از افراد، ژنتیکی است بنابراین نمیتوان از آن پیشگیری کرد. اما اقداماتی وجود دارد که میتوان برای کاهش احتمال ابتلای کودکان به عقب بودن فک پایین انجام داد:
- از دادن فنجانهای کودکانه که نی دارند به کودک پرهیز کنید. این فنجانها گزینههایی محبوب هستند که زمانی که کودک شروع به خوردن مایعات از لیوان میکند، مورد استفاده قرار میگیرند و معمولا دهانهای کوچک به شکل نی دارند. این فنجانها میتوانند باعث مشکلات رشد دندان شوند چون نیاز به مکیدن دارند و برخی از کودکان معمولا برای مدت زمان طولانی دهانه را میمکند که منجر به مشکلات دهانی میشود.
- حواستان به مکیدن شست و استفاده از پستانک باشد. طبیعی است که کودکان با استفاده از این روشها خود را آرام کنند. اما با افزایش سن، این عادات میتوانند تاثیر منفی بر رشد دهان داشته باشند. کودک را از مکیدن شست و استفاده از پستانک منع کنید. اگر نمیتوانید این عادات را از بین ببرید، او را نزد دندانپزشک ببرید.
- کودک را به طور منظم نزد دندانپزشک ببرید. اولین ویزیت دندانپزشکی کودک باید در ۱ سالگی یا زمانی که اولین دندان او در میآید انجام شود.
بیشتر بخوانید: خدمات شبانه روزی vip دندانپزشکی شامل چه مواردی میشود؟

اگر به عقب بودن فک پایین دچارید
به دندانپزشک یا متخصص ارتودنسی مراجعه کنید. این متخصصان به شما میگویند که اوربایت شما چقدر شدید است و آیا به درمان نیاز دارید یا نه. اگر برای درمان آماده نیستید، اقدامات زیر را انجام دهید تا خطر عوارض کاهش یابد:
- بهداشت دهان و دندان را به خوبی رعایت کنید.
- اگر هنگام خواب دندانقروچه میکنید از محافظ دندان استفاده کنید.
- به طور منظم به دندانپزشک مراجعه کنید.
- هنگام انجام ورزشهای تماسی، از محافظ دهان استفاده کنید.

خلاصه
حتی ممکن است از عقب بودن فک پایین آگاه نباشید. عقب بودن فک پایین که از آن با عنوان «اور بایت» هم نام میبرند، شرایطی است که دندانهای بالایی شما بیش از آنچه که باید روی دندانهای پایینی همپوشانی دارند. همه افرادی که دچار عقب بودن فک پایین هستند، به درمان نیاز ندارند. اما اگر دندانپزشک شما از این اصطلاح استفاده میکند، از او بپرسید که این شرایط چگونه بر سلامت دهان و دندان شما تاثیر میگذارد. درمان به موقع از بروز مشکلات بعدی پیشگیری میکند.
برای یافتن متخصصان مورد نظر خود به کلینیک نی نی بان سر بزنید.
برای ارسال نظر کلیک کنید
▼