پوسیدگی دندان میتواند به سکته قلبی ختم شود
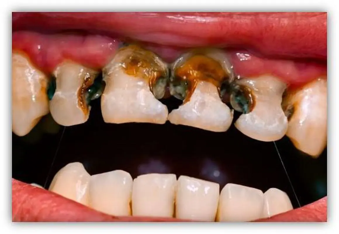
پوسیدگی و خرابی دندان دردهای شدید و طاقت فرسایی را تحمیل میکند وگاهی ممکن است باعث ایجاد سکته قلبی نیز شود.
مراقبت از دندانها یک امری واجب است که از کودکی آموزش داده شده و به آن تاکید میشود. با رعایت نکات بهداشتی دهان و دندان علاوه بر حفظ ظاهر زیبا برای دندانها از پوسیدگی، درد و مشکلات لثه نیز میتوان جلوگیری کرد.
این احتمال وجود دارد که باکتریهای موجود در دهان از پوسیدگی عمیق و آبسه وارد جریان خون شوند و باعث التهاب در رگهای خونی و آسیب به دریچههای قلب شوند.
از سوی دیگر، ممکن است عفونتهای دندانی در بدن ایجاد التهاب کنند که با بیماریهای قلبی عروقی مرتبط است. مصرف زیاد قند، استعمال دخانیات و رژیم غذایی نامناسب در ایجاد پوسیدگی دندان و همچنین ابتلا به بیماریهای قلبی عروقی نقش دارند.
انجمن علمی قلب آمریکا با توجه به تحقیقاتی که انجام داده معتقد است میان بیماریهای قلبی عروقی و پوسیدگیهای دندان ارتباط وجود دارد. اما پوسیدگی دندان به تنهایی به عنوان یک عامل خطر مستقیم برای بیماریهای قلبی شناخته نمیشود و اگر منجر به عفونتهای شدید مانند آبسه شود، ممکن است عوارض سیستمیک ایجاد کند.

در کودکان و نوجوانان پوسیدگیهای دندان شایع است، اما آمار دقیقی در این باره وجود ندارد. براساس آمارهای کلی و مطالعات ملی سلامت دهان و دندان در سال ۱۳۹۵، حدود ۸۵ درصد از کودکان کمتر از ۶ سال تجربه پوسیدگی دندان شیری را داشتهاند. این آمار در نوجوانان ۱۲ ساله حدود ۶۰ درصد برای دندانهای دائمی است.
به گزارش مجله تحقیقات دندانپزشکی ایران، در سال ۱۴۰۰ تحقیقاتی در تهران انجام و مشخص شد که حدود ۵۷ درصد کودکان میان ۳ تا ۵ سال پوسیدگی دندان شیری دارند.
لازم است خانوادهها برای پیشگیری از عوارض احتمالی از سنین کم، نسبت به رفع مشکلات دهان و دندان فرزند خود اقدام کنند تا در بزرگسالی با مشکلات جدیتر مواجه نشوند.
منبع: آنا
برای ارسال نظر کلیک کنید
▼